Hiện
nay, tại các trung tâm nha khoa lớn thường áp dụng phổ biến 3 phương
pháp điều trị sâu răng hàm dưới, đó là: hàn trám răng, bọc răng sứ và
nhổ răng sâu. Tùy vào tình trạng răng miệng và mức độ sâu răng của từng
người mà bác sĩ sẽ chỉ định cho một phương pháp điều trị phù hợp, cụ thể
như sau:
Hàn trám răng sâu
Hàn
trám răng sâu là kỹ thuật mà bác sĩ sẽ sử dụng các vật liệu trám bít
chuyên dụng để đắp vào lỗ sâu nhằm phục hình răng cũng như ngăn không
cho các vi khuẩn xâm nhập vào, khiến răng sâu nặng hơn.


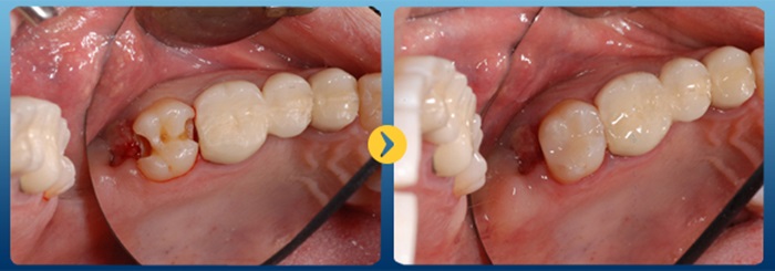
Hình ảnh khách hàng trước và sau khi trám răng sâu tại Nha khoa KIM
* Lưu ý: Hiệu quả phụ thuộc vào tình trạng răng miệng từng người
Hiện
nay có khá nhiều chất liệu hàn trám răng được sử dụng như: Chất liệu
sứ, amalgam, chất liệu kim loại thường và kim loại quý, GIC,
composite…Tùy vào tình trạng khuyết điểm, vị trí răng, mong muốn thẩm mỹ
của khách hàng mà bác sĩ sẽ tư vấn chất liệu phù hợp nhất. Thông
thường, hàn trám răng sâu sẽ được bác sĩ chỉ định trong trường hợp răng
mới chớm sâu, vẫn còn khả năng ăn nhai và phục hồi được.
Bọc răng sứ
Những
trường hợp răng bị phá hủy cấu trúc, vỡ mẻ từng mảng lớn, vi khuẩn đã
ăn vào đến tận tủy răng thì bọc răng sứ chính là giải pháp tốt nhất. Sau
khi đã nạo bỏ hoàn toàn vết sâu, bác sĩ sẽ tiến hành mài cùi chiếc răng
hàm bị sâu này và bọc mão sứ lên trên, với kỹ thuật này chiếc răng sâu
sẽ được khắc phục, chức năng ăn nhai và tính thẩm mỹ cũng được cải thiện
tốt hơn.


Hình ảnh khách hàng trước và sau khi bọc răng sứ tại Nha khoa KIM
* Lưu ý: Hiệu quả phụ thuộc vào tình trạng răng miệng từng người
Nhổ răng sâu hàm dưới
Trong
trường hợp răng đã bị tổn thương toàn bộ có kèm theo cảm giác đau nhức
và không còn khả năng để phục hồi thì bác sĩ sẽ chỉ định cho khách hàng
nhổ bỏ răng sâu hàm dưới để chấm dứt nhanh chóng tình trạng đau nhức,
đồng thời bảo toàn các răng còn lại, tránh sâu răng lây lan.